现今世界上的医学越来越发达,许多以前被称为绝症病症都可以用医学药物控制了,不过显然,咱们人类合病症之间的真正始终没有取得完全胜利!世界上依然有些病症是治无可治得的,患上这些病症的人直到现在还没有一起完全治愈的例子!今天谈灵网就为大家介绍这大名鼎鼎的世界五大绝症...
世界上五大绝症:艾滋病(死亡率99%),癌症(死亡率98%)、白血病(死亡率95%)、渐冻人症/运动神经元症(死亡率93%)、类风湿关节炎(死亡率50%)
一、艾滋病(死亡率99%)

要说这个世界上什么病能让人闻风丧胆,那必定是艾滋病无疑了。而且艾滋病还是世界五大绝症中死亡率最高的,死亡率已经是99%,基本上得上艾滋病就相当于变相宣告死刑了!好长一段时间里面,大家似乎都不敢谈论艾滋病这个话题,就像章子怡演的电影《最爱》里面,得了艾滋病的人会被人隔离开,偏居一隅等死而已...

小编曾经翻阅了很多资料,就是想找到,为何这个艾滋病这般令人惊惧的原因,后来在发现。原来艾滋病病毒在侵入人体之后,天首先会破坏人的免疫系统,从而使这个人变得很虚弱,所以事实上艾滋病本身是不会使人死亡的,但是当你得了艾滋病之后,就会导致各种的感染而死亡!要注意HIV在人体内的潜伏期可长达8~9年,主要是通过血液、母婴和性行为传播。
二、癌症(死亡率98%)

癌症也是世界上不能治愈的疾病之一,在世界五大疾病之中,癌症就是最为广泛流传的死亡之症!要知道扥了癌症的人的体内就像有一个定时炸弹一样,癌症事实上就是你身上长得一个恶性肿瘤,里面遍布小强一样顽强的癌细胞!一般这些癌细胞的扩散是非常快的,他还会释放多种的毒素,快速消耗人体的营养物质...

想必我们看哪些狗血电视剧的时候,若是有人得了癌症就是必会死的。伴随着在细胞扩散的程度,慢慢的在向死亡迈进。癌细胞还非常霸道,时经常会侵犯周围组织,甚至可经体内循环系统和/或淋巴系统转移到身体其他部分的,所以癌症的死亡率真的是非常高的!
我国现在的癌症治疗经常是结合了手术、化疗和放疗的方式进行的。但是即便是这样,癌症在发达国家中还是已经成为主要死亡原因之一。要知道,实际上美国每年逝世的4个人当中就有一人是因癌症而死,,在世界范围上,癌症的死亡率更是达到了98%!
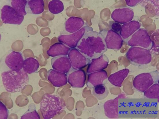
三、白血病(死亡率95%)

最早知道白血病是在小时候看的韩剧《蓝色生死恋》中宋慧乔得的白血病,依稀记得,这就是一个不能治好的病症,确实白血病对于人体的摧毁能力是十分恐怖的!不过,目前白血病已经有了治疗方法,这种病特点是骨髓及造血组织中大量白血病变异细胞无限增生,进入外周血液,这样以来,正常血细胞的制造被明显抑制。

白血病最明显的就是在初期会经常无缘无故的流鼻血,病因至今仍不完全清楚,病人因免疫系统功能丧失而死于感染性并发症,但通过配型骨髓干细胞移植可以治愈,以美国为例,其五年存活率在57%左右。儿童的五年存活率一般比成人高,依据白血病的类型不同,大约在60到85%之间。





















